呼吸困难、不能平卧、血压测不出、意识昏迷,这是63岁孙先生(化姓)在六天前所经历的危急时刻,他被诊断为二尖瓣腱索断裂、重度返流,命悬一线。哈医大二院心血管病医院院长、心内科主任于波教授带领介入团队,在超声医学科和麻醉科的护航支持下,成功完成急诊微创经导管二尖瓣钳夹术,患者重获“心”生,术后一天就可下地行走。

哈医大二院心血管病医院院长、心内科主任于波教授(右)带领介入团队中的陈涛副主任医师(中)等人完成微创经导管二尖瓣钳夹术救治危重患者
于波介绍,微创经导管二尖瓣钳夹术是目前国内最新、最先进治疗二尖瓣反流的方式,哈医大二院是东北三省首家成功完成此技术的医院。此技术具有不开胸、不需要体外循环支持,创伤小、手术时间短、安全性高、恢复快和住院时间短的优点,对于高龄、有开胸手术史、心功能差且合并多脏器功能不全、外科手术耐受力差,易发生手术并发症的高危二尖瓣反流患者来说,有更优的安全性与有效性,可大大提高患者的生活质量。

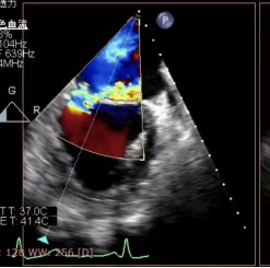
检查显示二尖瓣重度返流
“我平时身体挺好,就有点高血压,但一直也在吃药控制。六天前我在家正吃着饭,就突然感觉喘不上来气,感觉自己要不行了。我女儿当时在家就把我送来医院了,再之后我就没有意识了,等我再醒来已经是第二天了。”孙先生提到突发病症的情形仍然心有余悸。
被送到哈医大二院急诊科后,孙先生的病情急转直下,急诊科立即组织抢救,同时边抢救边转入心内科重症监护室,监护室杨爽主任医师和刘芳副主任医师立即组织抢救、麻醉、气管插管、有创呼吸机支持,并给予药物维持生命体征,经过一番抢救后,患者情况暂时控制住了。另一边,心内科导管室手术陈涛副主任医师和杨光副主任医师,对患者病情进行评估并立即向于波汇报,在于波指导协调下,对患者进行了急诊冠脉造影排除冠脉疾病,同时在超声医学科副主任冷晓萍教授团队的配合下进行急诊食道超声,最终诊断患者是由于腱索断裂导致二尖瓣后叶脱垂造成二尖瓣重度返流,最终导致急性肺水肿,低血压休克。

二尖瓣夹合器(红圈处)成功精准植入
陈涛介绍,二尖瓣是人体心脏的重要结构之一,由两片瓣膜组成一个单向阀门,形似一把降落伞,二尖瓣的降落伞模型,两个瓣片称为前叶和后叶,它们互相接触并密封瓣膜,防止血液在心脏泵送时回流,这就像降落伞的伞盖,用流动的空气冲开,然后被腱索拉住,一旦腱索断裂就会造成大量血液流入左心室,无法给全身供血,在短时间内可能会出现肺动脉高压、急性心衰甚至猝死。
明确病因后,如何治疗成为了一大难题。于波带领团队对患者整体情况进行了详细评估。由于孙先生病情危重,状态极差,此时急诊外科手术风险极高,故决定进行微创经导管二尖瓣钳夹术。术中,在全麻状态下,全程需要食道超声引导,十分考验手术医生和超声医生间的默契配合,需要操作路径、定位、角度都十分精准,就像“抓娃娃机”,稍许偏差一点就会失败。介入团队在于波指导下,陈涛、张东会和杨光经股静脉进入,默契配合,穿刺房间隔,进入左心房,准确找到二尖瓣病变位置,顺利用“夹子”夹住腱索断裂的位置,整个操作过程都是在“跳动的心脏”上完成。术后超声评估,反流由极重度变为轻微,达到了理想的效果。术后孙先生欣喜地说道:“太感谢医生了,救了我一命!术后一点都没难受,现在整个身体都感觉挺好的。抽了四十年的烟,这次我下定决心戒烟了,酒也不喝了,一定好好爱护身体!”

术后,陈涛副主任医师(右)和刘芳副主任医师(左)进行查房,孙先生术后一天就可以下地行走,饮食正常
于波指出,二尖瓣腱索断裂病例在临床比较常见,随着年龄增长,心脏瓣膜和腱索会出现功能的退行性病变,而受冠心病等疾病的影响也可能出现缺血性病变,这是因为腱索需要冠脉供血保持营养,而冠心病会影响冠脉血供,当血供不足时,腱索就会缺血坏死,很容易断裂。
他强调,心脏瓣膜病是一种好发于老年人的常见疾病,常规外科开胸手术需要体外循环和心脏停搏,患者手术创伤大,恢复慢,微创经导管二尖瓣钳夹术为广大二尖瓣反流患者带来了福音和希望。